며칠 전 미세플라스틱에 관한 기사와 영상을 본 적이 있습니다. 바다에 떠다니는 미세플라스틱이 증발하여 구름이 되고 다시 비나 눈으로 내린다는 것이었습니다. 그렇다면 우리는 이미 미세플라스틱에 노출이 되어 있고 공기를 통해 폐에 쌓이게 될 텐데요. 이러한 이유로 인해 발생할 수 있는 폐암 초기증상 및 폐암 검사방법에 대해 알아보겠습니다.



2020년에 발표된 중앙암등록본부 발표 자료에 따르면 2018년에 243,837건의 암이 새로이 발생했으며 그중 폐암(C33~C34)은 남녀를 모두 합쳐서 28,628건으로 전체 암 발생의 11.7%로 3위를 차지했다고 합니다.
폐암이란
폐암이란 우리 몸의 폐에 생긴 악성 종양을 말합니다. 원발상 폐암이라고 해서 폐 자체에서 발생하거나 다른 장기에서 생긴 암이 폐로 전이될 수도 있습니다. 원발성 폐암의 종류에는 암세포의 형태와 크기에 따라 비소세포 폐암과 소세포 폐암으로 구분합니다. 폐암의 80~85%는 비소세포폐암에 해당하며 이것은 다시 선암(샘암), 대세포암, 편평상피세포암 등으로 나뉩니다. 그리고 소세포폐암은 대체로 악성도가 높아 발견되었을 때 이미 림프관 또는 혈관을 통하여 다른 장기나 반대편 폐, 종격동, 기관, 식도, 대동맥, 양쪽 폐 사이의 공간으로 심장 등으로 전이되어 있는 경우가 많습니다.






폐암 초기증상
폐암에 걸렸을 때 초기에는 별다른 통증이나 증상이 없습니다. 그렇지만 시간이 지날수록 폐암 초기증상으로 잔기침을 하거나 숨을 헐떡거리기도 하고 가슴 통증을 호소하게 됩니다. 때문에 평소 아래와 같은 이상 증상이 있는지 살펴볼 필요가 있습니다. 폐암 초기증상에 대해 자세히 살펴보겠습니다.
폐암 초기증상 1. 잔기침 증상
기침은 감기나 기관지염 그리고 천식 등 다른 호흡기 질환에서도 흔히 나타나는 증상입니다. 하지만 잔기침은 가장 일반적으로 나타나는 폐암 초기 증상이기도 합니다. 그래서 증상 자체를 대수롭지 않게 여기고 넘어가는 경우가 많습니다. 가벼운 감기 증상에서부터 폐암에 이르기까지 기침의 이유는 다양할 수 있습니다. 하지만 지속적으로 잔기침 증상이 있다면 폐암 초기증상을 확인해봐야 합니다. 대략적으로 3주 이내에 사라지는 급성 기침은 주로 바이러스 감염에 의한 일시적인 증상이지만 잔기침이 오래 지속된다면 폐암, 후두암, 갑상샘암이 진행된 상태일 수 있습니다. 때문에 3주 이상 잔기침이 지속된다면 전문가를 찾아가 원인을 확인해 보는 것이 필요합니다.






폐암 초기증상 2. 핑거 클루빙 (손끝이 두꺼워지는 증상)
폐암 초기증상으로 핑거 클루빙이라는 증상이 나타날 수 있습니다. 이는 화학적인 반응으로 손끝에 있는 조직으로 더 많은 피와 액체를 보내기 때문에 보통때와 다르게 손끝이 더 두껍거나 커 보이게 됩니다. 손톱 주변의 피부가 탱탱해질 수 있으며 평소보다 더 구부러질 수도 있습니다. 일상적으로 보게 되는 상황은 아니지만 손가락 끝이 두꺼워지는 증상은 폐암과 밀접한 관련이 있습니다. 대부분 폐암 초기증상을 가진 약 80%의 환자들은 이 징후를 가지고 있습니다.
주변 지인이 오랫동안 잔기침을 하고 피부에 변색이 생겨서 큰 병원을 찾았는데 이는 폐 판막에 염증이 생겨서 발생하는 증상으로 확인할 수 있었습니다.
폐암 초기증상 3. 통증 유발
폐종양은 폐의 윗부분 혹은 첫 번째 갈비뼈 위에서 시작되었을 때 처음 발견했던 헨리 팬코스트 박사의 이름을 따서 팬코스트 종양이라고 부릅니다. 팬코스트 종양은 폐의 상부에서 시작되어 갈비뼈, 척추, 신경 그리고 혈관으로까지 퍼지는 폐암의 한 종류입니다. 이 암의 시작 위치로 인해 어깨, 등 윗부분, 겨드랑이, 팔 등에 통증을 느낄 수 있습니다. 하지만 폐암 초기증상으로 다른 증상이 없을 수 있습니다.
암에 걸린 환자의 10명 중 1~2명은 정상인보다 높은 칼슘 수치를 보입니다. 혈액 속의 칼슘이 너무 많아서 수시로 배가 아프고 메스꺼워지거나 변비가 생길 수 있습니다. 폐암 초기증상의 하나로 음식물을 먹고 싶지 않을 수도 있고 목이 말라 갈증을 호소할 수 있습니다. 그리고 일부 종양으로 인해 경련과 메스꺼움을 느끼게 되는 경우도 있습니다.
폐암 초기증상 4. 체중 증가 (쿠싱 증후군) 및 체중 감소
소세포 폐암을 앓고 있는 환자들 중에는 쿠싱 증후군에 걸리는 경우가 있습니다. 이 경우 코르티솔의 수치를 높이는 ACTH라고 불리는 호르몬을 생성하게 되고 이는 체액 유지와 체중 증가로 이어지게 됩니다. 때문에 일상생활 속에서 쉽게 멍들고 졸릴 수도 있습니다.
반면에 폐암 초기증상으로 체중 감소 현상이 나타날 수 있습니다. 폐암은 고칼슘혈증과 신장에 영향을 미치는 호르몬 문제인 SIADH로 인해 식욕을 잃게 만들거나 거식증을 일으켜 체중 감소가 시작될 수도 있습니다. 때문에 특별하게 체중조절을 하지 않아도 체중이 줄어든다면 꼭 병원을 찾아야 합니다. 폐암이 진행되는 동안 체중의 10퍼센트 이상이 감소하는 이유는 암이 몸의 신진대사에 직접적으로 영향을 미치기 때문입니다.
폐암 초기증상 5. 빈혈 증상
낮은 적혈구 수치 또는 빈혈은 폐암의 매우 흔한 현상입니다. 우리 몸속의 조직에 충분한 산소가 공급되지 못하게 되는 경우 심한 피곤을 느끼거나 빈혈 증상을 호소하게 됩니다. 일상생활 속에서 앉아 있다가 일어서는 것이 힘들 수도 있고, 심리적으로 불안정하다고 느낄 수 있습니다. 이런 경우 대부분의 사람들은 일시적인 피곤이 누적되었거나 스트레스로 인한 증상일 수 있다고 생각하고 쉽게 지나치게 됩니다. 만약 증상이 지속된다면 꼭 전문가와 상담해야 합니다.
폐암 초기증상 6. 근육 약화
폐암이 다른 장기로 전이되는 경우 암세포는 혈류를 통해 뼈로 이동하여 새로운 종양이나 병변을 만들게 됩니다. 이러한 병변은 뼈를 손상시키게 되고 통증을 유발하게 됩니다. 그리고 고칼슘혈증이나 SIADH로 인한 미네랄 불균형은 온몸의 근육을 아프게 할 수 있습니다. 그리고 암세포가 신경계에 영향을 준다면 말하는 것과 삼키는 것 등 체내의 모든 근육을 약화시켜 일상생활이 힘들어질 수 있습니다.



폐암 초기증상 7. 혈전 증가
폐암 초기증상으로 폐암에 걸리게 되면 다리나 팔에 혈전이 생길 가능성이 더 높습니다. 하지만 정확한 원인은 아직 밝혀지지 않았습니다. 암은 혈액을 응고시키고 염증을 유발하거나 종양 자체의 화학 물질이 혈전을 만들어 내는 경우가 있습니다.
폐암 초기증상 8. 시력 장애 (호너 증후군)
팬코스트 종양은 눈과 얼굴의 일부에 있는 시신경에도 영향을 끼치게 됩니다. 이를 일컫어 호너 증후군이라고 합니다. 호너 증후군의 증상은 눈꺼풀이 처지게 되고 눈의 동공이 작아지게 됩니다. 신경계에 대한 면역 체계를 무너트리는 소세포 폐암은 시력 장애로 가져올 수 있습니다.






폐암 초기증상 9. 두통 동반
폐암 초기증상으로 암이 시작된 위치에 따라 상완 정맥을 압박해서 좁아지게 되면 혈액이 통과하기 어려워집니다. 때문에 이러한 경우 두통을 동반하게 되고 심할 경우 쿵쿵거리는 느낌을 느낄 수 있습니다. 이로 인해 순식간에 기절할 수도 있습니다. 그리고 혈액 속의 높은 칼슘 수치는 쪼개지는 듯한 두통을 느끼게 합니다. 새로운 두통이나 두통 패턴의 변화는 폐암 초기증상을 의심해 봐야 하며 꼭 의사에게 진찰을 받아야 하는 이유입니다.
폐암 초기증상 10. 쉰 목소리
폐암의 초기 증상은 쉰 목소리로 나타납니다. 일반적으로 쉰 목소리는 성대 문제로 인하여 나타날 수 있습니다. 하지만 흉강에 성대를 제어하는 신경이 있으므로 폐암에 걸리게 되면 성대를 제어하는 신경에 영향을 주게 되어 쉰 목소리가 나는 경우가 있습니다. 2~3일 후에도 쉰 목소리가 계속되다면 병원을 찾아 전문가와 상담을 해야 합니다.
폐암 초기증상 11. 붉은 피부색
폐암 초기증상으로 상완 정맥이 종양으로 인해 막히게 되면 상반신의 피가 다른 곳으로 잘 이동할 수 없게 됩니다. 때문에 얼굴, 목, 팔의 혈액은 이동하지 못하고 모이게 되며 붓기 시작합니다. 이로 인해 눈에 띄는 폐암 초기증상은 바로 가슴에 푸르스름한 붉은 피부색이 생기는 것입니다.
폐암 검사방법
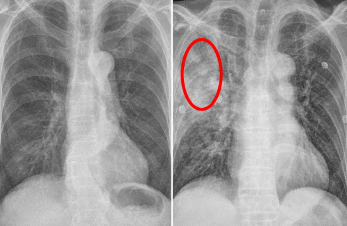
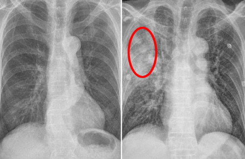
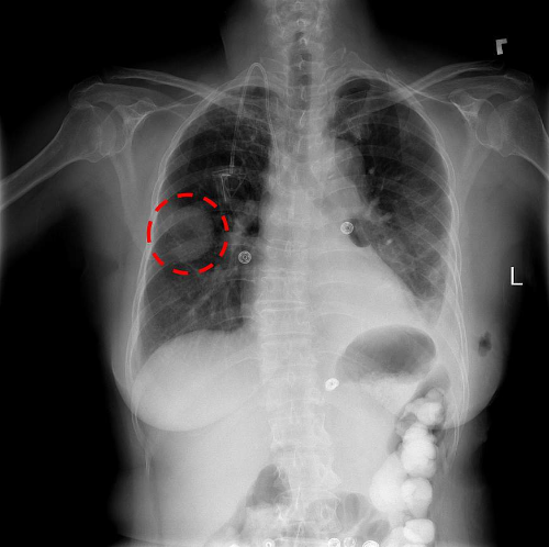
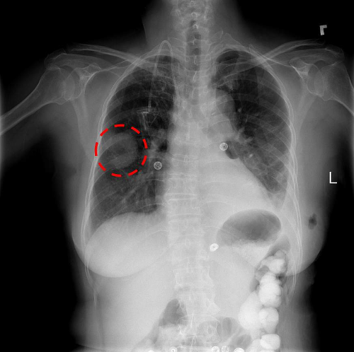
1. 흉부 X-ray 촬영
폐암 검사방법 중 가장 일반적인 검사의 하나로 엑스레이 촬영이 있습니다. 가장 기초적인 검사이고 가장 빠르기도 합니다. 하지만 이 방법은 폐암 세포가 5mm 이상 자란 상태에서 발견할 수 있습니다. 때문에 극 초기의 경우에는 발견하기가 어렵다고 합니다. 또한 흉부 X-ray 촬영은 심장 주변부나 뼈와 겹치는 부분은 확인이 어려울 수 있습니다.



2. 기관지 내시경
폐암 검사방법 중 두 번째 방법은 기관지 내시경입니다. 이 검사방법은 생검과 몸 바깥에서 직접 바늘로 찔러 넣어 폐 병변의 조직을 얻는 경피적 침 흡입술로 나눌 수 있습니다. 생검은 기관지를 내시경으로 직접 관찰하면서 기관지 내 종양의 조직을 확인할 수 있습니다. 하지만 내시경 자체가 굵기 때문에 기관지의 말단 부위까지는 검사가 어렵다는 단점이 있습니다.
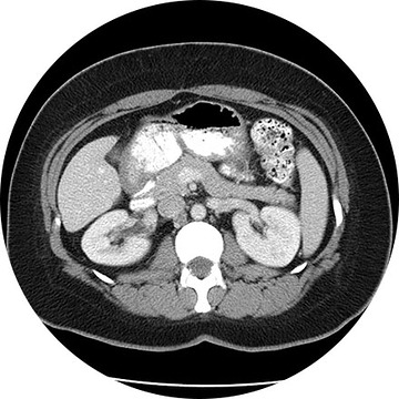
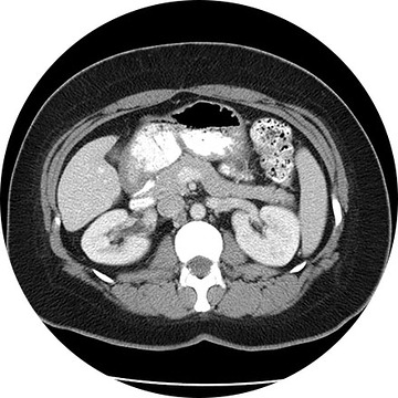
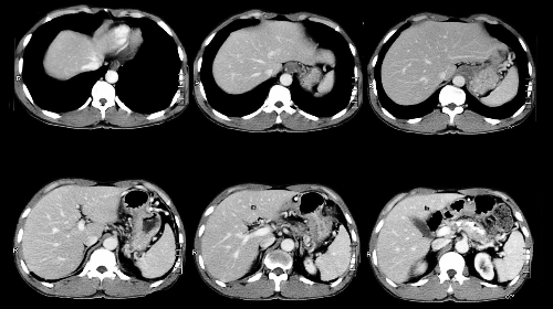
3.CT(전산화 단층촬영)
흉부 CT 촬영은 흉부 엑스레이보다 폐암을 발견할 수 있는 확률이 높고 이로 인해 폐암을 조기 발견하여 사망률은 낮출 수 있습니다. 저선량 CT는 방사선 조사량을 기존 CT에 비해 현저하게 줄이는 검사 방법으로 방사선에 노출되는 위험을 줄일 수 있습니다. 이 검사 방법은 해상도는 저선량이라서 기존 CT에 비하여 감소하지만 병변 유무를 관찰하는 데는 충분하며 간편한 검사입니다. X-ray에서 발견이 어려운 초기 폐암의 경우 흉부 CT 촬영을 통해 조기에 발견할 수 있습니다.






4. 가래세포검사
가래세포검사는 기관지나 폐의 조직에서 떨어져 나와 가래에 섞여있는 세포, 조직구 그리고 백혈구 따위를 검사해서 암세포를 발견해 내는 검사 방법입니다. 검사를 위해서는 가능한 한 이른 아침에 가래를 받아 검사 용기에 넣어 마르지 않은 상태로 검사해야 합니다. 그리고 암에 걸렸다고 해서 가래에 늘 암세포가 섞여 있는 것이 아닐 수 있으니 최소 3회 정도 검사할 필요가 있습니다. 폐 중심부에 위치한 암의 진단율은 높지만 말초 병변인 경우에는 조기 진단율이 낮습니다. 특히나 초기 폐암의 경우엔 가래에서 암세포를 발견하기 힘들 수 있습니다.
5. MRI (자기공명영상)
자기공명영상(MRI)은 폐암 진단에도 활용될 수 있습니다. 또한 수술을 위해 종양의 구체적인 위치를 확인해야 하는 경우에 이 검사를 하게 됩니다. MRI는 보통 신체 구조에 대한 데이터를 모으는 검사 방법입니다. 이 검사를 통해서 최소한의 체내 조직 변화와 문제가 되는 곳의 정확한 위치를 확인할 수 있습니다. 그리고 MRI는 방사선에 노출될 위험이 없고 검사를 위해 조영제가 필요하지 않습니다. 하지만 MRI는 자기공명요법이 무선파와 자기력을 이용하여 검사가 진행되기 때문에 폐쇄공포증이 있거나 심장박동기를 장착한 경우라면 문제가 될 수 있습니다.
6. 뼈 스캔
폐암은 보통 전이가 빠른 편입니다. 때문에 뼈 스캔을 통해 증식되고 있는 암세포와 전이 정도를 확인할 수 있습니다.
7. PET (양전자 방출 단층 촬영)
양전자 방출 단층촬영은 검사 시 수명이 짧은 방사성 약물을 이용하여 3차원 컬러 이미지를 생성하는 검사 방법입니다. 이 방사성 약물은 특정 유형의 조직에만 반응을 보기게 됩니다. CT 및 MRI가 해부학적인 구조를 스캔하도록 하는 검사 방법이라고 하면 PET 스캐닝은 대사 활동과 조직 역할을 측정하게 됩니다. 이것은 종양이 성장하고 있는지 여부를 확인하는데 활용할 수 있습니다. 그리고 연관된 세포의 유형의 확인을 통해 보통 종양이 양성인지 악성인지를 확인할 수 있는 폐암 검사방법입니다.
폐암 예방하는 방법
금연
흡연은 직접 흡연자는 물론 간접 흡연자에게도 심각한 문제가 됩니다. 또한 직접 흡연자의 경우 담배를 피우지 않는 사람에 비해 폐암 발병률이 30% 이상 높다고 합니다. 때문에 폐암 환자들의 80% 이상은 흡연자인 경우가 대부분입니다. 그리고 흡연은 폐에 악영향을 줄 뿐만 아니라 비흡연자에 비해 폐암 발병률이 20배 이상 높다고 하니 가급적 금연하는 것이 건강을 위해 좋을 듯합니다.
운동 및 마스크 착용
평소에 규칙적이고 적절한 운동을 통해 면역력 수치를 증가하는 것이 좋습니다. 또 편식 없이 영양소가 고루 포함된 식단을 준비하고 규칙적으로 식사하는 식습관이 중요합니다. 폐암은 미세먼지, 매연, 흡연, 자극적인 향기, 헤어스프레이 등으로 인해 원인 제공이 될 수 있으니 이러한 것을 가급적 피하고 마스크를 착용하는 것으로 폐암을 미리 예방해야 합니다.
음식 조리환경 개선
주방에서 기름을 사용하여 음식을 하게 될 경우 조리 중 발생하는 연기에는 발암물질이 포함되어 있습니다. 때문에 음식을 하는 조리환경을 개선할 경우 폐암 발병을 미리 막을 수 있습니다. 주방에서 조리 시 후드를 켜고 자주 집안 공기의 환기가 필요합니다.
폐암은 유전적 요인이 큽니다. 특히 가족력이라고 하는데 가족중에 암을 앓았던 사람이 있다면 이는 유전적 요인이 있다고 볼 수 있습니다. 하지만 가족력이 있다고 하더라도 100% 걸리는 것은 아니기 때문에 관리 잘해주면 된다고 합니다. 또한 환경적 요인이 있습니다. 미세먼지, 석면, 라돈 등의 발암 물질에 노출되거나 흡연 등으로 인해 발병할 수 있습니다.
폐암 초기증상 11가지 및 폐암 검사방법 자세히 알아보았습니다.
댓글